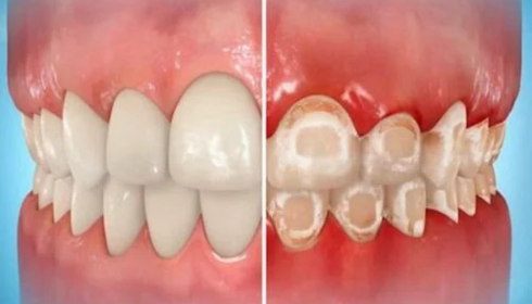
Some people are surprised when, after braces are removed, they see chalky white patches where brackets used to be. These spots aren’t “extra whitening”; they’re an early sign of enamel damage called decalcification.
During braces, cleaning around brackets and wires is harder. If plaque sits undisturbed around them, acids start dissolving minerals from the outer enamel. This weakened area looks whiter and more matte than the surrounding tooth. Over time, it can progress into full cavities if ignored.
Once present, white spots don’t just vanish in a few days, but they can often be improved. Good daily care is the foundation: thorough brushing, fluoride toothpaste, and possibly a fluoride mouth rinse recommended by your dentist. In mild cases, the enamel can partially re-harden, and the contrast may reduce.
Dentists may also offer specific treatments like fluoride varnishes, remineralising pastes, or microabrasion techniques to smooth and blend the surface. In more severe cases, small fillings or cosmetic bonding might be needed.
The best approach, of course, is prevention during braces: careful cleaning, avoiding constant sugary snacks and drinks, and regular professional checks. If you already have white spots after orthodontic treatment, don’t feel ashamed; talk openly with your dentist about aesthetic options. There’s often something that can be done to make them less noticeable.
